Just had new teeth done what a fantastic job the dentist done fit perfectly the assistant dasha was really great on her assistance knew exactly what to get when asked dasha is very polite & does her job well every member of staff is a credit to smilesahead





The best Dental practice in Corby very friendly personal, amazing receptionist, Doctors are so experienced and knowledgeable .
I had my first appointment today, an emergency one, and cannot thank them enough. To begin with I sent an email in the morning before they opened and the receptionist that phoned me back at 9am was lovely and so kind. I had an appointment before 10am. Sherrie the dentist was patient and so understanding. She explained all of my options and I was back in the chair that afternoon for treatment. Both receptionists were amazing in person and I cannot fault this practice in the slightest.
I’ve been going to Smiles Ahead for almost 5 years now and I’ve got nothing but great words to say. I called for an emergency appointment for my jaw this January and got booked in really quickly and saw Shree, the new dentist, which was so convenient as she specialises in jaws and aches. Shree did a whole thorough assessment of my jaw, X-rays etc. gave me some exercises, and sorted me out with some really good retainers plus a temporary one to see me through until they were ready. I’m now completely pain free after following her instructions and I couldn’t be happier! The whole team are amazing and all very positive and gentle, which is great for people who maybe aren’t so confident going to the dentist. Thanks Shree and the team!
Dr. Khurram Qureshi has been caring for patients for more than 20 years. He combines deep clinical knowledge with a gentle, thoughtful approach, ensuring every patient feels heard and supported through their dental journey.
Dr. Qureshi will guide you every step of the way, from your first consultation to the final fitting of your dentures, answering questions and making sure your experience is as comfortable as possible. He’s proud to have helped patients across Corby, Little Stanion, Rockingham, Rothwell and beyond rediscover their confidence through restorative dental care.







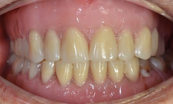
We offer both full dentures (for patients missing all their teeth in the upper or lower jaw) and partial dentures (to replace a few missing teeth). Your dentist will help you decide which type is most suitable for you.
Definitely! We’ll design your dentures to closely match your natural teeth’s shape, size, and colour. They'll be made to suit your smile and facial structure, so they blend in beautifully.
It can take a little while to get used to when you first start wearing dentures, but we’ll make sure they’re carefully fitted to be as comfortable as possible. If you feel too much discomfort, we can adjust your dentures.
While you can enjoy most foods and drinks with dentures, it usually takes a little time to adjust when you begin wearing them. Initially, we recommend starting with soft foods and cutting your meals into smaller pieces. Some sticky, hard, or very chewy foods might be tricky or uncomfortable, so it’s wise to avoid them at first. With some practice, you should be able to tuck into all your favourites.