I called the other day to see if I could book in an emergency appointment. They were very kind and gave me a spot the next day to be seen. The staff were lovely and comforting knowing I was nervous, and they did an excellent professional job to help the situation I was in. They also gave me in depth information about what was happening and aftercare which is really helpful and gave me reassurance. They do seem very booked up and I wouldn’t take my example as normal. After explaining my situation to the staff, they squeezed me in last minute to genuinely help me. So be prepared to wait if your condition isn’t serious.





The most amazing dentist! I know some people dread going to the dentist but every time I’ve visited Smiles Ahead, the staff have always been very friendly and my dentist always makes me feel at ease. I was recommended by a family member and I would highly recommend them myself as they offer a great service and it’s very affordable to spread the cost with Denplan!
Just a brilliant dentist 😁
Everyone at Smiles Ahead has been so amazing. I had to go in as an emergency patient and they got a slot for me that morning. I had a panicky episode on my first visit but I was given the right support to get me ready for my next visit and tooth extraction. That first evening, I had a call just to check I was doing okay which was greatly appreciated. When I then went back for the extraction, everyone was so reassuring and patient with me, explaining each step and putting soothing music on. I sat in the waiting area afterwards while they kept an eye on me because I was very shaky, and they checked I would be okay getting home. Appointments have been on time, staff have all been friendly and very understanding of how anxious I have been. They couldn’t have done more to make me feel at ease. Highly recommend. I will always come back here now.
Dr. Khurram Qureshi has spent over 20 years helping patients feel confident in their smiles, combining attention to detail with a caring, thoughtful approach.
His experience spans general and aesthetic dentistry, oral surgery, and teaching, giving him the insight to deliver beautifully subtle results tailored to each individual. Patients across Rockingham, Little Stanion and Rothwell trust Dr. Qureshi for his warm manner, steady hands and genuine care.







With proper care, including regular visits to the dentist and hygiene appointments, bonding can last 5 to 7 years or more. Avoiding habits like nail-biting or pen-chewing can help extend its life.
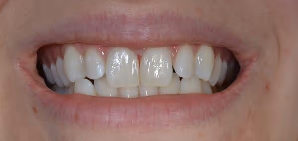
Of course. We colour-match the material to your teeth and sculpt it with care. The result is a smooth, natural finish that blends in beautifully.
No, not at all. It’s a minimally invasive treatment with no drilling, so your natural tooth will stay intact.
Composite material doesn’t whiten the same way as enamel, so if you're considering whitening, we recommend doing it beforehand. Then, we can match the bonding to your new shade.
Bonding is great for cosmetic improvements, but it’s not always the right option for large chips or significant alignment issues. If needed, we might suggest veneers, crowns or Invisalign instead.